notification icon
Ne maradj le semmiről! Iratkozz fel értesítéseinkre!

Egészséges életmód

Egészséges életmód

Ez a legjobb kézkrém amit valaha használtam, próbáld ki te is!

Készítsd el te is a börödnek megfelelő házi készítésű kézkrémet. Így fogsz megfeledkezni a drága kozmetikumokról, amik nem hozzák a...

Egészséges életmód

Miért érdemes szaunát építtetni otthonra?

Egyre szélesebb körben terjed el a szokás, hogy az emberek szaunát építtetnek az otthonaikba. Különösen hangulatos tud lenni télen, amikor...

Egészséges életmód

Így hozd ki magadból a legtöbbet!

Akkor lehet igazán kiegyensúlyozott és boldog életet élni, hogy ha az ember kívül-belül csúcsformában van. Az áhított testkép elérése...

Egészséges életmód

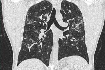
Még fél év után is kimutathatók CT-vel a koronavírus okozta tüdőelváltozások

A hazai képalkotó diagnosztikai piac vezetője, az Affidea Magyarország még biztonságosabbá tette COVID-protokollját minden egészségügyi...

Egészséges életmód

Mosogatógépet vásárolnál? Ezekre figyelj!

Aki sosem dolgozott mosogatógéppel, nem tudhatja, mennyi idő, fáradság és energia takarítható meg a segítségével. Ráadásul a konyhában...

Egészséges életmód

Szabadulj meg a csípőfájdalomtól!

A csípőfájdalom nem csak zavaró, tönkreteszi az életet, hiszen bizonyos esetekben ellehetetleníti, hogy megcsináljuk azokat a dolgokat, amiket...

Egészséges életmód

Módszerek, amikkel sokat tehetsz az egészségedért és 1 percbe telnek

Ha szeretnénk megőrizni az egészségünket, az sok időt vehet igénybe, hosszútávon azonban mindenképp megéri, sőt az apró lépések is...

<1 ... 910111213 ... 33>